[진료일기]라미네이트 활용한 심미치료 사례 이야기
페이지 정보

본문
안녕하세요. 오늘은 심미 진료 케이스 중
하나를 소개하려 합니다.
외적으로 관심이 많아지면서
심미 진료를 원하시는 분이 많은 것 같아요.
미국에서 진료할 때보다
니즈가 더 많은 것 같고,
하얗기에 대한 기준도 많이 올라간 것 같아요.
어쩌면 미국 LA 할리웃보다
더 올라간 느낌인 것 같아요.
오늘 소개할 분은
심미 진료 중 다른치과의원에서
비니어 진료를 받으신 분이에요.
외적으로 관심이 많으신 분이지만,
치아 형태가 마음에 들지 않아
환하게 웃어본 적이 없다고 하셔요.
교정 후, 악궁이 과하게 넓어지면서
앞니 부근 악궁이 과하게 넓어져서,
웃을 때 입체감이 없어 보여요.
일직선 느낌…
그리고 앞니 사이 변색과
약간의 공간들이 웃을 때
치아 사이가 더 벌어진 것 처럼
보이게 만들었던 것 같아요.
추가적으로 송곳니, 그리고 뒤에 있는
작은 어금니 형태가 뾰족한 느낌이
다 사라져버린 것 같아요.
이는 사용감으로 인한 wear(닳음) 인 건데,
이런 평평한 느낌이 나이를
들어 보이게 하는 이미지를 줘요.
잘 저작할 수 있게 하며, 닳아 없어진 곳을
복원하는 것은 보철과의 영역이죠.
치아에 입체감이 있으면 좋겠고,
환하게 웃고 싶다고 하셨어요.
밝기는 자연스러운 수준에서
밝은 느낌을 원하셨어요.
이렇게 악궁이 과하게 넓어진 경우,
교정 없이 좁히는 데는 한계점이 있지만,
교정을 원치 않으셨어요.
이 경우 보철물을 형태와
texture를 통해 충분히
개선할 수 있다고 봤어요.
다른치과의원에서 Suresmile을 동반한
투명교정으로 조금 유리한 상황으로
만들 수는 있지만,
아무래도 교정은 시간이 걸려요.
먼저, 약간의 잇몸 정돈을 통해
조금 더 symmetric 하게 만들어줬습니다.

사진의 장치는 레이저를 이용해
얼굴의 중앙선과 대칭을
맞추기 위한 장치입니다.
박 원장이 미국에서부터 너무나도 애용하던 장치..
비니어 (라미네이트) 를 이용한
치료의 경우에는 치아 외부 껍질인
Enamel을 어떻게든 남기는 게
수명을 길게 합니다.
당연히 조정이 적다 보니, 시림도 덜하겠고요.

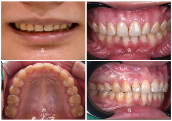
최종 보철물이에요.
위쪽 치아 8개에 다른치과의원의
비니어치료가 진행됐어요.
잇몸도 깔끔하게 정돈돼서 예쁘죠.
정면에서도 보이지만, 송곳니와
뒤쪽 치아 부분을
젊은 형태로 복구해 줬어요.
조금 더 날카로운 느낌이
살아있어도 이쁠 것 같지만,
“ Beauty is in the eye of the beholder! ”
박 원장은 환자분 치아를
아주 존중해 주고 있답니다.
어디까지나 이상적인 형태를 제안하고,
가능한 부분이 어디까지인지
입안에서 먼저 보여드리고,
함께 보며 상의해요.
아무래도 심미치료는
기능도 중요하지만,
미적인 게 중요하니까요!

자신 있게 웃으며, 건강한 미소
오랫동안 유지하셨으면 좋겠습니다.
________________________________________________
다른치과의원은 최상의 퀄리티를 낼 수 있는 실력과 장비들이
모두 함께 있는 인하우스 기공소가 있는 곳으로
치아 수명이 오래갈 수 있도록 항상 노력하고 있습니다.
________________________________________________
- 이전글[진료일기]부식 치아 재건 치료 사례 이야기 24.12.13
- 다음글[진료일기]재신경치료 및 크라운 교체 사례 이야기 24.12.12
댓글목록
등록된 댓글이 없습니다.