..
오늘 얘기나누려고 하..
보철과 의사로 일할 때, 아무래도 큰 관점에서 진료를 많이 보게 되는 것 같아요. 지금 환자분이 가지고 있는 상황이 이렇..
안녕하세요. 오늘은 심미 진료 케이스 중 하나를 소개하려 합니다.외적으로 관심이 많아지면서 심미 진료를 원하시는 분이 많..
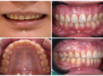
지난 번 외국인 가족분들이 진료 받았던내용에 대해 이야기를 해봤는데요,오늘은 그때 같이 오셨던 둘째 아드님 케이스를함께 ..
요즘 한류 붐으로 인한건지, 외국에서도 많이 찾아오셔요. 오늘은 외국인 가족들이 와서 진료받았을 때, 있었던 얘기를 해보..
다른 진료, 다른 서비스, 다른 공간. 지금 바로 경험해보세요.