[진료일기]재신경치료 및 크라운 교체 사례 이야기
페이지 정보

본문
지난 번 외국인 가족분들이 진료 받았던
내용에 대해 이야기를 해봤는데요,
오늘은 그때 같이 오셨던 둘째 아드님 케이스를
함께 보도록 하겠습니다
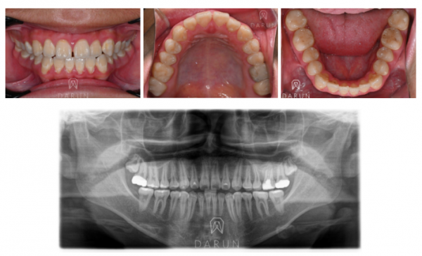
치아 희끗히끗 한것들이 많아요.
뭔가 노르스름한것들도 같이 보이구요.
이런 것들은 후천적 요인 이라기보단,
선천적으로 치아 저 광화 되있을 가능성이 많아요.
이런 치아들을 가지고 계신 분들이라면
관리를 굉장히 잘하셔야 됩니다.
일반적인 상황보다 치아 강도가 많이 떨어집니다.
치료를 할때는 어떻게든 기계적으로
강하게 해주는 방법을 고려해봐야 합니다.
왼쪽 위 큰 어금니쪽에 뭔가 거무스름한게 보입니다.
아주 무서워보이는 색이에요.
레진으로 굉장히 광범위하게
파괴된 곳에 치료를 받으셨고,
충치가 심해서 신경치료도 받은 걸로 보여요.
이 경우에 크라운은 필수적입니다.
환자분 선천적인 치질 자체가 약하다는 것도 있지만,
소실된 치아량 이 너무 광범위해서
어떻게든 치아를 기계적으로 강화시켜줘야해요.
치아가 이런 거무스름한 색상을 띄며,
x-ray에서 뿌리 끝에 뭔가 거무스름한게
더 보이는 것 같을 때 치료는 아주 복잡해집니다.
_______________________________________________________
_______________________________________________________
크라운 위한 준비 후 한 컷.
표시된 것처럼 심상치 않은 느낌이에요.
파라색으로 표시한 부분처럼.
치아뿌리 안쪽 관에 비어있는게 많은 것 처럼 보여요.
오염물질! 보철물에서 sealing이 중요하다고 했었죠.
신경치료도 마찬가지입니다.
Sealing이 중요해요.
어떻게 든 Bacteria 침입을 막기 위한거죠.
CT 사진입니다.
표시한 이부분이 전부다 염증이에요..
뿌리사이에 저렇게 광범위하게 진행된 것 같아요.
저렇게 까지 악화된 경우엔 예후가 안 좋을 수 있어요..
자 필요한 정보들은 있고,
재신경치료 시작합니다.

레진으로 덮여있던 곳을 조심스레 다 제거했더니,
이제 신경치료 흔적들이 나오기 시작합니다.
왜 검냐구요?
Contamination 된 것들은
갈색 혹은 검은색을 띄게됩니다.
이제 신경뿌리 관따라서
오염 된 것들을 전부다 제거해야 합니다.
조금씩 제거할때마다,,
이렇게 오염물질이 계속 나옵니다.
왜 안팠는지,, 신기하죠?
이런것들은 언 제든지 컨디션 조금만 나빠지면
확 붓거나 터질 수 있어요.
얼른 치료 받으셔야 돼요.
청소 후 모습입니다. 아주 많이 좋아졌어요.
이제 치료 마무리 준비중입니다~
한 근관 오염이 너무 심해서,
일반적으로 쓰는 Gutta percha 재료만으론 한계가 있어서,
여러종류 의 MTA를 함께 이용했습니다.
오염된 부분들이 eradicate 이면 좋겠지만,
잘 정리되었단 사인도 보이네요
Are we there yet? 이라고 외치던 친구..
고생했어요. 정말. 오랫동안 쓰길 바래요!
________________________________________________
다른치과의원은 최상의 퀄리티를 낼 수 있는 실력과 장비들이
모두 함께 있는 인하우스 기공소가 있는 곳으로
치아 수명이 오래갈 수 있도록 항상 노력하고 있습니다.
________________________________________________
- 이전글[진료일기]라미네이트 활용한 심미치료 사례 이야기 24.12.13
- 다음글[진료일기] 보철물 파절 크라운 교체 사례 이야기 24.12.12
댓글목록
등록된 댓글이 없습니다.
